Control tissue with CytoSections

Share post on social media:
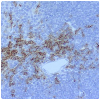
Control tissue with CytoSections

 

OriGene CytoSections

CytoSections is a verified, reproducible and renewable source of positive control where the target protein is expressed in human HEK293T cells. The expression of the target protein is verified by a western blot.

'An ideal alternate to control tissue'

Key features

  • FFPE sections of cell pellets over-expressing targeted biomarkers
  • Expression of target biomarker verified for accuracy and specificity by western blot
  • Both positive (cell transfected with the target protein) and negative (mock transfected cells) control are available for all targets genome wide
  • All proteins tagged at the c-terminal with myc-DDK
  • Available for genome wide targets for both human & mouse
  • Custom option available: pellet composition, density

 

Application

  • Routine control for all IHC protocols, run alongside your samples
  • Monitor the performance of your IHC workflows with independent control, identity and control inter and intra operator variability in your IHC protocols
  • Screen & set standards for sensitivity and specificity of your antibodies across different lots
  • A common standard and reference point for multi-center clinical trials
  • Develop custom multiplex assays for sensitivity and specificity

OriGene provides the slides unbaked. They recommend that you bake the control slides(s) according to your standard laboratory operating protocol. Baking control slides in your lab will generate uniform staining across experiments and prevent inherent variables from equipment, technology, and protocols that vary from lab to lab.

CytoSections are not guaranteed for other markers that may or may not be represented on the control tissue slide. Antibody screens or stains are only meant to be used for research use only. Final decision on antibody screen or staining of tissue should be based on stain, or antibody manufacturer data sheets and input from a pathologist.

 

For an overview of the products click here.

You might also like...

View blog
cDNA clone set
1 min read
cDNA clone set
Are you looking for transfection ready cDNA plasmids? Clone quality and ease of use for high-throughput screening is utmost important. Our...
Custom Lentivirus production service
1 min read
Custom Lentivirus production service
Do you have lentiviral gene delivery needs? Our supplier OriGene offers lentiviral plasmids and lentiviral particles including Lenti-ORF,...
Custom constructs
1 min read
Custom constructs
Do you want to outsource your cloning work, so you can focus on your scientific discovery?